歯のホワイトニングとは
当院では、院内で施術が完結し1回で高い効果が期待できるオフィスホワイトニングと、ご自宅など好きな場所やタイミングでできる手軽なホームホワイトニング、そしてオフィスホワイトニングとホームホワイトニングを組み合わせたデュアルホワイトニングをご用意しています。
歯科医院でのホワイトニングとは
歯科医院でのホワイトニング(スーパーポリリン酸ホワイトニング)には虫歯予防効果と着色予防効果があります。
歯科医院ではホワイトニング効果が高い高濃度の薬液を使用します(高濃度の薬液は歯科医院でのみ使用できます)。
ただ歯を白くするだけでなくポリリン酸によるコーティングでツルツルピカピカな歯になります。
歯を白くしても歯にやさしくない薬剤もありますので、注意が必要です。
ホワイトニングの必要性
歯の白さは歯の質(エナメル質の量、硬さなど)、食生活、加齢、歯のケアなどによって影響されます。
何もしないでいると黄ばんでいきます。
歯の美しい白さは、清潔感、表情の明るさ、若々しさなどの好印象を与えます。
安全性
ホワイトニング材はホームホワイトニングでは過酸化尿素、オフィスホワイトニングでは過酸化水素水とポリリン酸ナトリウムを使用しております。
過酸化尿素と過酸化水素は消毒液などで使用されているもので、適切な使用法で行えば人体に有害なものではありません。
歯科医院で行うホームホワイトニングは患者様ご自身の歯列に合わせたカスタムトレイを作成し薬液が漏れないようにします。
オフィスホワイトニングは歯科医師の監視、指導の下に研修を終了し、施術経験のある歯科衛生士が担当します。また知覚過敏のような痛みが出る場合がありますが、一過性のものでホワイトニングを終了すれば元に戻ります。
効果
ホワイトニングの効果は、個人差がありますが、施術前と後の写真を撮り、記録をしますので変化がよりわかりやすくなります。
今までに一度もホワイトニングをしたことがない方はシェードが平均で3~5トーンぐらい白く変化します。ホワイトニング経験のある方は平均で1~3トーンの変化があります。
女性の方は白い衣装やお化粧をする機会が多いので、歯の白さが日本人の標準的な白さ(A3)でもオセロ効果で黄色く見えてしまいます。またスマートフォンなどで写真を撮ったりすると黄色く見えてしまうこともあります。
オフィスホワイトニング
当院ではスーパーポリリン酸ホワイトニングをおこなっております
スーパーポリリン酸ホワイトニングは歯を白くするだけでなく歯の表面をコーティングしてツルツに仕上げ、着色予防や虫歯予防の効果もある歯にやさしいホワイトニングです。
スーパーポリリン酸ホワイトニングは痛みの少ないホワイトニングです。
- 歯科医院で行います
- ホワイトニング技術に
優れた衛生士が
3クールの光照射をします - 1度の施術でも白さを実感できます。ご希望の方は2,3回の追加施術をお受けください(割引制度あり)
使用法とホワイトニング薬剤
初めに歯の表面の汚れをポリリン酸ナトリウムで落とします。
ポリリン酸ナトリウムと過酸化水素水を混和した薬液を歯に塗布し光照射により白くします。
最後に再度ポリリン酸ナトリウムペーストでポリッシングをします。
知覚過敏について
ポリリン酸ナトリウムにより知覚過敏が少ないです。
万が一症状が出ても一過性のもので落ち着きます。
オフィスホワイトニングのメリット
歯科衛生士が行うので手間がかかりません。
ポリリン酸ナトリウムの作用により虫歯予防効果があります。
スーパーポリリン
ホワイトニングについて
ポリリンホワイトニングとは、あらゆる生物の体内にもともと存在している生体物質であるポリリン酸を使用した安全で非常に高い効果が期待される新しいホワイトニング方法です。
以下のようなお悩みをお持ちの方にお勧めです。
良くしたい
身近に接することが
ある方
黄色くなった
気がする
写真撮影をする方
見える白い歯でいたい
ご予定のある方
歯が白いと写真撮影に使うレフ板のような
効果がでてお顔が明るく見えます!
ポリリンホワイトニングの仕組み
①歯の表面に付着したステインに近づくと、②汚れを浮かせて剥がし、③表面をキレイにすると同時に
④歯の表面をコーティングすることにより歯質を強化、ステインの再付着を防ぎます。
※歯が白くなるとレフ板効果で、周りの物が白く映ります!
そのため歯肉も白く反射して移っています。歯が白いと顔も明るく見えます。
ホワイトニングの施術はポリリン酸PMTCも同時におこないます。
歯の表面状態で大切なことは歯の表面がツルツルであることです。
ツルツルな歯は汚れ・着色・細菌の付着を防いでくれます。
虫歯も着色も歯のザラザラや傷が原因なのです。
ポリリン酸PMTCは歯の表面を傷つけずにお掃除します。
従来法のお掃除では、歯の表面を研磨剤の成分でゴシゴシ落とすので、お掃除直後はきれいに見えますが、しばらくすると傷ついた部分に汚れが付着します。
3か月に1回を1年間行うことで、光沢あるツルツルな歯になっていきます。
【症例1】
-
Before
-
After
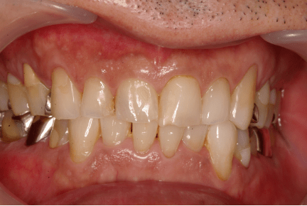
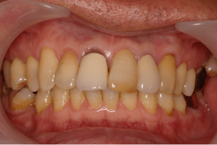
【症例2】50代男性
-
Before
-
After
【症例3】40代男性
-
Before
-
After
ホームホワイトニング
- ご自宅など
好きな場所・時間帯に
自分のペースでできます - 歯科医師・衛生士の指導の下
自宅でも高濃度の薬液を
使用できます。 - マウスピースがあればホワイトニング薬剤の購入だけで、ホワイトニングにリトライすることが可能!
憧れの白い歯に。
ホームホワイトニングは自宅で簡単!
忙しい方にもおススメです!
爽やかな印象に・顔のトーンがあがり、若く見えます・清潔感アップで好印象
ポリリン酸PMTCを仕上げでおこないます
-
STEP 1
院内にて専用トレーの型取り
-
STEP 2
トレー完成後、ジェルのお渡し・使用方法のご説明
(最短2~3日で完成致します)
-
STEP 3
ご自宅でお好きなお時間に装着
10%:1日/4時間
35%:1日/30分※高濃度のため時間厳守
料金表
- 10%スターターキット
(カスタムトレー&ジェル2本) - ¥22,000(税込)
- 10%ジェル単品
- ¥1,700(税込)
- 35%スターターキット
(カスタムトレー&ジェル2本) - ¥27,500(税込)
- 35%ジェル単品
- ¥3,300(税込)
お気軽にスタッフにお尋ねください。
【症例】
-
Before
-
After
ホームホワイトニングの使用方法
- ❶
ブラッシング:ホワイトニング前にしっかり歯磨きをします。
- ❷
ジェルの注入:注入する量は1歯あたり米粒〜ゴマ粒ほどです。
ジェルの量を多くしても効果は変わりません。 - ➌
マウスピースの装着
- ジェルがはみ出した際はティッシュペーパー等でふき取ってください。
- 装着中は飲食、喫煙は控えてください。
- マウスピースを強く噛みしめないでください。
- 装着は1日1回にしてください。
- ❹
マウスピースの取り外し
- 時間が経過したらマウスピースを外します。
- お口をよくゆすいでください。
- ❺
洗浄と保管
- マウスピースは歯ブラシと水でキレイに洗浄してください。
- マウスピースの変形を防ぐため、温水での洗浄は避けてください。
- 使用後のマウスピースはケースに保管してください。
- ジェルは冷蔵庫に保管してください。
ホームホワイトニングのメリット
カスタムマウスピースがあれば、手軽にホワイトニングの再開や後戻りの予防ができます。
ご注意ください
- 連続した使用は2週間までです。
- マウスピースは再度使用できますので大切に保管してください。
- ホワイトニング中は色の濃い飲食物を控えるとより効果的です。
- 使用中しみることがありますが、ほとんどの場合が一過性のもので、時間を置くと落ち着きます。
- 強くしみる場合は一旦使用を中止し、時間を置いてから使用してください。

