成人歯列矯正小臼歯を抜歯しない矯正
小臼歯を抜歯しないのは、小臼歯が大切な役割を持つ歯であるからです。
不正歯列の主な原因は奥歯(6番7番8番:親知らず)のスペースが窮屈で、
前後的窮屈・上下的窮屈があることです。これを改善することが嚙み合わせの改善につながります。
実は小臼歯(4番5番)の存在が不正歯列の原因になっていることはほとんどないのです。
Teoデンタルオフィスの成人歯列矯正は小臼歯を抜歯しない矯正を基本方針としております。
見た目だけじゃない、顎の動き、トラブルの少ない嚙み合わせにするのも矯正治療の目的です。
当院の成人歯列矯正について
①小臼歯を抜歯しないことを軸に、
骨切り外科手術をできるだけ回避した矯正治療をご提案しています。
唇側ブラケット矯正、マウスピース矯正、舌側矯正、インビザライン、部分矯正を行っております。
患者様それぞれに合った治療法をご提案し、できる限り患者様のご希望に沿う方法で治療しております。
他院での矯正で悩んでいる方も、セカンドオピニオンで来院ください。
骨切り手術をせずに上顎前突を改善
②顎の動きを重視した嚙み合わせを矯正治療
顎の動きと嚙み合わせを重視することにより顎の動きを改善して顎関節症の予防・改善。
嚙み合わせを改善して歯の動揺・歯の破折・知覚過敏の予防・虫歯・歯周病予防にもなります。
矯正治療の際は顎の動きを調べる顎運動検査器(キャディアックス)を使用します
CADIAX(キャディアックス)とは?
③小臼歯の役割を重要視した治療
4番5番は嚙み合わせの中心となる歯でちょうど真ん中に位置します。野球の4番、5番バッターと同じくらい重要な歯です!
歯並びと歯の形を見ると前歯から臼歯にかわる部分にあり、抜歯すると歯の形の変化が移行的でなくなり、連続性が失われてしまいます。そうなると顎の動きに支障をきたします。
また4番の小臼歯の歯根形態はダルマ状の形をしており嚙み合わせると顎の後方移動に抵抗する形態をしています。
これは顎関節症のほとんどが顎の後方移動が原因になっていることに関係しています。
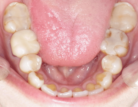
小臼歯を抜歯して矯正したことで残存した小臼歯と大臼歯のかかる負担が大きく破折・虫歯のトラブルを引き起こします。写真では歯列弓が狭くなり舌の置き場所がなく、舌の後退や沈下を引き起こしやすく、息苦しく見えます。
小臼歯抜歯した患者様の口腔内
舌が窮屈そう。奥歯は再治療が続いている。
歯の破折・かぶせ物の脱離はかぶせ物治療の歯科医の技術的ミス?それとも嚙み合わせの不良による歯への過負担でおきているのか?
成人歯列矯正症例
正しい嚙み合わせとは?
1歯対1歯の咬み合わせは、よくない咬み合わせです。
歯の破折、知覚過敏の原因などトラブルを起こします。
上下の歯が互い違いに咬む1歯対2歯の咬み合わせが、
理想的でトラブルの少ない咬み合わせです。
矯正治療で治しました。
顎模型と同じような嚙み合わせにすることで正常に近い顎の動きとなり、トラブルも少なく歯が長持ちすることになります
矯正治療の比較
唇側ブラケット矯正(固定式装置)
歯の表側にブラケットを付け、ワイヤーを通して治療します。
| 移動方法 | 歯体移動、傾斜移動、垂直的移動などいろいろな移動ができる |
|---|---|
| 特徴 | 小臼歯を抜歯しない矯正治療ができ顎の位置を改善できるため、 顎関節症状の改善も期待できる 開口を改善できる 機能的咬合の構築をする 顎間ゴムを使用することもある 装置は見えるものになる |
| 治療費 | 検査診断料:10万円 装置:80万円 調整料:3千円〜5千円 月1回のクリーニング含む |
| 期間(目安) | 10か月~18か月 |
マウスピース矯正(取り外し式装置)
透明なマウスピースで治します。インビザライン、ASOアライナーを使用しております。
| 移動方法 | わずかな垂直移動と歯の傾き移動のみ 歯の移動に制限がある 歯体移動はできない |
|---|---|
| 特徴 | 軽度の歯列不正に向いている 患者様自身で取り外しができるため、規則的な使用が求められる 1日18時間に使用を推奨(自主管理が最も大切です) 治療の進展に伴い、新たな装置が必要になる |
| 治療費 | 検査診断料:10万円 1装置3組につき5万円(装置は3~10個必要) 調整代込み クリーニング代は含まれない |
| 期間(目安) | 6か月~18か月 (軽度の治療になるので短いが、唇側ブラケット矯正に比べた場合、 時間はかかる) |
舌側矯正(固定式装置)
歯の裏側にブラケットを付け、ワイヤーを通して治療します。
| 移動方法 | 歯体移動、傾斜移動、わずかな垂直的移動ができる 水平的移動を主とした矯正 顎の位置をほとんど変更しない 水平的移動が主のため、小臼歯抜歯になることが多い |
|---|---|
| 特徴 | 開口は改善しにくい 適応症例が制限される 見えない矯正ができるのが最大のメリット |
| 治療費 | 装置120万円 検査診断料10万円 調整料5千円 月1回のクリーニング含む |
| 期間(目安) | 24か月~30か月 |
コンビネーション矯正
唇側ブラケット矯正、舌側矯正、マウスピース矯正を組み合わせた矯正治療です。
組み合わせ1
矯正治療の序盤は唇側ブラケットを行い中盤から終盤にマウスピース矯正で治療する(治療時間の短縮と唇側ブラケットを付けている期間を短くしたい)。
組み合わせ2
ブラケットが目立つ上顎は舌側矯正、目立ちにくい下顎は唇側ブラケットで治療する(できるだけ治療費を抑えて、できるだけ目立ちにく矯正治療をしたい)。
部分矯正
※公的医療保険が適用されない治療法(自由診療)となります。
一部の歯を矯正します。
装置は唇側ブラケット、舌側ブラケット、マウスピースで治します。
患者様の気になるところ以外に原因がある場合もありますので、その場合は矯正範囲が広がります。
| 治療費 | 16万5千〜60万円 症例により治療費に違いあり |
|---|---|
| 期間(目安) | 3か月~12か月 |
どうしても矯正の痛みが心配な方はご相談ください
レーザーバイオモジュレーション
バイオモジュレーションには3つの効果があります。 ①ATPの産生=生きるためのエネルギー産生 ②NO(一酸化窒素)の産生=血管拡張作用 ③ROS(活性酸素)の産生=抗炎症作用 この3つの効果により、傷ついた歯肉・歯槽骨などの患部や矯正治療の歯の移動に伴う痛みの軽減、治療スピードの促進をバイオモジュレーション作用により、細胞中のミトコンドリア代謝を増加させ、細胞エネルギーを高めて治癒を速めます。
成人歯列矯正の流れ
患者様の歯の悩み・嚙み合わせ・顎関節症の痛みや違和感・身体の違和感や痛み(肩こり・首の痛み・頭痛)・姿勢の問題などをうかがいます。
矯正治療の期間・費用・装置などを患者様の症状にあわせて説明いたします。
矯正治療は専門的な話が多いので、ご理解が難しことがあります。
ご相談は2、3回受けてもらって構いません。
※下段の成人歯列矯正治療Q&Aを参照ください
①各種レントゲン検査(セファロレントゲン・パノラマレントゲン・CTレントゲン撮影)をします。
②顎関節の動きを調べるCADIAXを使用して顎関節運動検査をします。
③模型分析のための歯の型取りをします
④咬合器分析のためのフェースボートランスファーをします
⑤口腔内写真・姿勢写真・顔貌写真撮影
患者様の歯の悩み・顎関節症の有無・身体の違和感痛み(肩こり・首の痛み・頭痛)・姿勢を確認します
※レントゲン撮影はデジタルレントゲンを使用して、被曝量を最小限にするようにしております。
レントゲン撮影
CADIAX検査
検査を基に分析・診断をします。
①セアファロ分析 (標準値との比較)
②咬合(嚙み合わせ)分析
③顎骨格の3パターンの分類
④顎関節の位置・動きの異常の有無
など
歯を動かす治療をします。
3、4週間に1度のペースで6か月~2年程度の通院になります。
患者様の症状・希望などによりブラケットワイヤー矯正、マウスピース矯正(アソ―アライナー・インビザライン)、舌側矯正装置で治療します。
矯正中の注意事項の説明をいたします。
装置料金
・ブラケット(白色)ワイヤー装置 800,000円(税別)
・マウスピース矯正 600,000円(税込み)
※症例により差額あるため参考価格、詳しくはこちら
・舌側矯正 1,300,000円(税別)
・部分矯正 100,000~400,000円(税別)
・矯正調整費 4,000円(税別)/月1回
※矯正調整費は月1回だけのお支払いになります。舌側矯正は6,000円(税別)
矯正中のクリーニングが月1回含まれます。
※公的医療保険が適用されない
治療法(自由診療)となります。
動的矯正治療が終了したら保定(固定)をします。(静的矯正治療)1~3か月に1度のペースで通院していただきます。
保定期間の目安は動的矯正治療期間と同じ長さの期間になります。
後戻りを防ぐ装置で、リテーナー型、舌側固定ワイヤー型、マウスピース型を選択して使用します。
保定装置費40,000円(税別)矯正治療費に含まれています。
小臼歯抜歯矯正に比べて
- 顎関節症になりにくい・顎関節症の軽減が期待できる
- 嚙み合わせが安定する(歯ぎしりに強い歯並び)
- 歯の破折、知覚過敏、歯周病になりにくくなる
- 矯正治療を中断しなくてはならない場合に対応できる
- 後戻りしにくい
- 隙間の空いた歯並びになりにくい
- 小臼歯を抜歯すると歯列のアーチが小さくなり、舌の置く場所が後方になりやすく、
息苦しさや姿勢がわるくなることもある
新素材ワイヤーゴムメタルを使用しています
ゴムメタルとはトヨタグループの豊田中央研究所で開発された新しいチタン合金です。柔らかく、しなやかでありながら高強度でコシが強いという特性を持っており、ゴムのような性質を持つ不思議な合金ということから 『 ゴムメタル 』 と名付けられました。
最適な弾性力と継続的な矯正力を持つゴムメタルワイヤーであれば、矯正治療の初期段階からフルサイズのワイヤーを適応させることが可能です。太いワイヤーであっても痛みを軽減することができ、かつ治療期間を最短にすることができます。
人体に優しいゴムメタルはアレルギー物質として知られるニッケルやクロムなどの金属を含まないため、人に優しい合金です。Ti(チタン)・Nb(ニオーブ)・Ta(タンタル)・Zr(ジルコニウム)から作られているβチタン合金です。
成人歯列矯正治療Q&A
- 矯正の期間はどのくらいかかるの?
- およそ10か月~18か月です。歯並びの程度や通院のペースに影響されます。
- 矯正の痛みはどの程度ですか?
- 歯を指で強めに押しているぐらいの力がかかります。咬んだり、指や舌で歯を押すと痛みを感じますが、しばらくすると歯が動き、痛みが軽減します。
ワイヤーをつけた2、3日後に痛みがでやすいです。
当院ではゴムメタルワイヤーを使用していますので従来のステンレスワイヤーに比べ痛みがかなり軽減されます。
- 矯正治療の通院ペースを教えてください。
- 基本的に、3週間に1度のペースで矯正ワイヤーの変更・調整をします。
矯正装置を付けはじめた序盤などは、痛みの確認、装置の脱落の確認、歯ブラシの確認で1週間後に来院していただいています。
- 矯正が痛い場合の対処方法を教えてください。
- 歯の動きで痛い場合は痛み止めを飲んでいただきます。ワイヤーや装置が痛い場合はプロテクターワックスをお使いください。
- 矯正中の食事制限はありますか?
- 硬いお煎餅、氷の塊などは装置の脱離や痛みの原因になりますので控えてください。
着色しやすいカレーなどはワイヤーを固定しているゴムが変色するので、気を付けてください。変色しても体には害はありません(どうしてもカレーが食べたときは来院する前日などに食べるといいかもしれません)。
- 矯正中の歯ブラシはどうすればいいですか?
- 矯正中は歯ブラシが難しくなります。歯科衛生士が丁寧に歯ブラシの仕方を指導させていただきます。また、通院の際に歯ブラシの確認とホームケアのアドバイスをいたします。
- 矯正中に虫歯、歯周病になることはありませんか?
- 矯正中は通常より虫歯、歯周病になりやすいです。そのため、矯正治療を開始する前に虫歯と歯周病の治療を必ずおこないます。
万が一、矯正中に虫歯を見つけた場合は早急に治療します。
また、歯の汚れが著しい場合、歯のクリーニングをします。
マウスピース矯正の方はあめ玉、キャラメルなどを召し上がるときは虫歯リスクが高いので気を付けてください。
- 妊娠中は矯正治療できますか?
- 妊娠中は原則、矯正治療できません。
- 矯正治療の後戻りはおきますか?
- 矯正治療直後は後戻りしやすいので、保定装置(リテーナー)の装着をお願いしています。小臼歯を抜歯しない矯正は後戻りが少ないです。後戻りが著しい場合、矯正の再治療をする場合もあります。
- 保定装置はどのくらい使用しなくてはいけないのですか?
- 保定装置の基本は動的矯正治療の期間と同じ期間の装着が必要です。例えば、18か月のワイヤー矯正をおこなった場合、最低18ヶ月の保定装置の装着が必要です。抜歯矯正した場合は半永久的に使用しなくてはいけない場合もあります。
上顎前突(出っ歯)下顎前突(受け口)の方は
ぜひご相談ください

